L’engruiximent miocàrdic transitori (sigles en anglès TMT), és una entitat clínica relativament recent en la literatura veterinària que afecta l’espècie felina. Es defineix com un engruiximent reversible de la paret del ventricle esquerre que causa una disfunció miocàrdica. Aquesta disfunció es tradueix, majoritàriament, en una insuficiència cardíaca congestiva i, en algun cas, en una insuficiència cardíaca de baixa despesa. És important tenir-la en compte per poder-la diferenciar de la cardiomiopatia hipertròfica felina.
El mecanisme fisiopatològic no es coneix del tot però se sospita, per similitud amb el mateix procés en les persones, d’una infiltració miocàrdica i/o edema miocàrdic. S’han apuntat causes infeccioses i no-infeccioses com a presumptes orígens. Per citar-ne alguns exemples: la toxoplasmosi, la panleucopènia felina, la immunodeficiència vírica felina, secundari a un quadre septicèmic i l’administració de glucocorticoides. També s’ha establert una resposta anormal a les catecolamines alliberades per l’estrès (cirurgies/anestèsies) com a possible detonant.
Què tenen en comú aquests animals?
Generalment es tracta d’adults joves que es presenten amb un quadre d’insuficiència cardíaca congestiva, típicament, amb edema pulmonar o efusió pleural.
A nivell analític, l’hemograma sol ser normal o presentar pocs canvis (i poc significatius), el perfil bioquímic pot mostrar azotèmia que normalment serà d’origen prerenal per baixa perfusió.
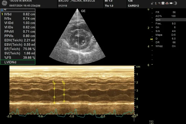
Si realitzem una T-fast (o una ecocardiografia completa si el pacient està suficientment estable) observarem :
- Engruiximent diastòlic de la paret del ventricle esquerre (septal o paret lliure) > 6mm.
- Dilatació i disfunció sistòlica de l’atri esquerre.
- No en tots, disminució de la fracció d’escurçament ventricular.
Si sospitem d’aquesta entitat i/o hem vist l’engruiximent ecogràfic, cursarem la troponina I sanguínia (en sèrum), que és un indicador molt sensible de dany miocàrdic agut. En casos de TMT, els valors d’aquest biomarcador es solen trobar molt alterats.

En Baloo es va presentar amb una quadre de distrés agut per una insuficiència cardíaca congestiva. L’ecografia mostrava un fenotip hipertròfic amb disfunció diastòlica. Els nivells de troponina I es trobaven a 11,2 (rang de referència 0-0.06) .
Mode M. Tall transversal del ventricle esquerre. S’observa un gruix diastòlic anormal tant en paret septal com lliure del ventricle esquerre (hipertròfia a partir de 0,6cm).
Perquè és important parlar de la l’engruiximent miocàrdic transitori en gats?
Un dels motius importants per parlar-ne i conèixer aquesta entitat és per la seva similitud fenotípica amb la cardiomiopatia hipertròfica felina (CMH). Aquesta sol afectar a edats més avançades i, un cop l’animal presenta símptomes té un pronòstic de vida reservat. Contràriament, els animals diagnosticats correctament amb TMT, tenen un pronòstic molt bo, ja que poden revertir la seva situació hemodinàmica en setmanes o mesos.
Com es tracta?
El tractament buscarà estabilitzar la insuficiència cardíaca congestiva. Aquest es basarà en l’ús de diürètics (majoritàriament furosemida en bolus o infusió contínua), suplementació d’oxigen i toracocentesis en casos necessaris. L’ús de pimobendan, clopidogrel i altres fàrmacs cardíacs se seleccionarà en funció del cas clínic i els resultats ecogràfics. Similarment, l’ús d’antibiòtics empírics de forma generalitzada s’hauria d’evitar, però poden ser requerits en casos concrets.
Quin seguiment es fa?
Un cop donat d’alta, es realitza un seguiment clínic de l’animal realitzant ecocardiografies seriades per monitoritzar la disfunció diastòlica i el gruix ventricular. Els valors de la troponina I solen anar decreixent i, en la majoria de casos, es troba corregida quan el gruix ventricular es normalitza.
Com a conclusió, tot i no ser una entitat clínica que es presenti freqüentment, la TMT ha de ser inclosa en el diferencial dels felins que es presenten amb insuficiència cardíaca i engruiximent miocàrdic, especialment en pacients joves i, sobretot, abans d’establir-ne un pronòstic.
Marta Pèlach de Ribot. Llicenciada Veterinària.
Certificada en Cardiologia per l’ESAVS i la Universitat de Luxemburg. Actualment en procés d’acreditació d’AVEPA en l’especialitat de Cardiologia.


